Parodontitis - Alles, was Du über die Zahnfleischerkrankung wissen musst
Was ist Parodontitis?
Parodontitis ist eine bakterielle Entzündung des Zahnhalteapparates. Dabei sind nicht nur Dein Zahnfleisch betroffen, sondern auch die Strukturen, die Deine Zähne im Kiefer verankern.
Dazu gehören:
- Zahnfleisch
- Wurzeloberfläche
- Kieferknochen
Unbehandelt führt Parodontitis dazu, dass sich das stützende Gewebe langsam zurückbildet. Die Zähne verlieren Halt, werden locker und können im schlimmsten Fall verloren gehen.
⚠️ Wichtig zu wissen:
Parodontitis entsteht meist schleichend und verursacht lange Zeit keine Schmerzen.
Gibt es einen Unterschied zwischen Parodontitis oder Parodontose?
Viele Menschen sprechen von „Parodontose“. Medizinisch korrekt heißt die Erkrankung jedoch Parodontitis.
Der Unterschied:
- Parodontitis: entzündliche Erkrankung durch Bakterien
- Parodontose: veralteter Begriff ohne Entzündung
Heute weiß man: Fast alle Fälle sind entzündlich bedingt.
Von einer Gingivitis zur Parodontitis
Die anfängliche Parodontose geht mit einer Zahnfleischentzündung einher, auch Gingivitis genannt. Springt diese Entzündung jedoch weiter auf die Knochen, kann dies neben starken Schmerzen aufgrund des Gewebe- und Knochenabbaus auch zum Zahnverlust führen.
Doch wie kannst Du eine Parodontitis vorbeugen? Was sind die Ursachen und wie wird sie behandelt, falls die Entzündung schon fortgeschritten ist?
Wie entsteht Parodontitis?
Die Hauptursache sind bakterielle Beläge auf den Zähnen, die sogenannte Plaque. Wenn diese Beläge nicht regelmäßig entfernt werden, passiert Folgendes:
1. Bakterien sammeln sich am Zahnfleischrand.
2. Das Zahnfleisch entzündet sich (Gingivitis).
3. Die Entzündung wandert unter das Zahnfleisch.
4. Zahnfleischtaschen entstehen.
5. Knochen und Haltefasern werden abgebaut.
Der Körper reagiert also nicht nur auf die Bakterien selbst, sondern auch auf deren Stoffwechselprodukte und die eigene Immunreaktion.

Risikofaktoren: Darum sind Menschen stärker betroffen
Parodontitis entsteht selten durch einen einzelnen Auslöser. Meist wirken mehrere Faktoren zusammen:
- unzureichende Mundhygiene
- Rauchen
- Diabetes mellitus
- genetische Veranlagung
- Stress
- hormonelle Veränderungen
- geschwächtes Immunsystem
- seltene Zahnarztkontrollen
Besonders Rauchen gilt als einer der stärksten Risikofaktoren, weil Warnzeichen oft abgeschwächt sind.
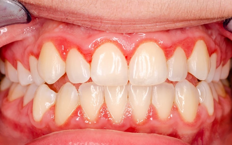
Frühe Symptome: Woran Du Parodontitis erkennst
Viele Betroffene glauben, ihr Zahnfleisch sei „einfach empfindlich“. Tatsächlich sind frühe Warnzeichen oft eindeutig.
Typische Frühzeichen:
- Zahnfleischbluten beim Putzen oder Essen
- gerötetes oder geschwollenes Zahnfleisch
- Mundgeruch
- empfindliche Zahnhälse
- zurückgehendes Zahnfleisch
Diese Phase ist entscheidend, denn hier lässt sich die Erkrankung meist noch sehr gut stoppen.
Späte Symptome einer fortgeschrittenen Parodontitis
Ohne Behandlung schreitet die Erkrankung weiter voran.
Mögliche Anzeichen:
- Zahnlockerung
- wandernde oder kippende Zähne
- sichtbare Zahnlücken
- Eiteraustritt aus Zahnfleischtaschen
- Druckgefühl beim Kauen
Schmerzen treten häufig erst spät auf, deshalb wird Parodontitis oft zu spät erkannt.

Ist Parodontitis gefährlich für Deine Gesundheit?
Ja, denn Parodontitis betrifft nicht nur Deinen Mund.
Chronische Entzündungen können mit anderen Erkrankungen zusammenhängen, darunter:
- Herz-Kreislauf-Erkrankungen
- Diabetes
- Schwangerschaftskomplikationen
- systemische Entzündungsprozesse
Entzündetes Zahnfleisch ist keine lokale Kleinigkeit, da der Mund Teil des gesamten Körpers ist.
Wie stellt der Zahnarzt Parodontitis fest?
Die Diagnose erfolgt durch eine sogenannte parodontale Untersuchung.
Dabei werden:
- Zahnfleischtaschen gemessen
- Blutungsneigung geprüft
- Röntgenbilder beurteilt
- Knochenabbau bewertet
Diese Untersuchung ist schmerzarm und liefert entscheidende Informationen über den Zustand Deines Zahnhalteapparates.
Wie läuft eine Parodontitis-Behandlung ab?
Viele Menschen haben unnötige Angst vor der Therapie. Moderne Parodontitis-Behandlungen sind strukturiert und gut kontrollierbar.
1. Vorbehandlung
Zunächst werden harte und weiche Beläge entfernt. Du erhältst außerdem individuelle Mundhygiene-Anweisungen.
2. Tiefenreinigung (nicht-chirurgische Therapie)
Unter lokaler Betäubung werden bakterielle Beläge aus den Zahnfleischtaschen entfernt und Wurzeloberflächen geglättet.
Ziel: Entzündung stoppen.
3. Heilungsphase
Das Zahnfleisch kann sich wieder an den Zahn anlegen. Taschen werden kleiner.
4. Nachsorge (entscheidend!)
Regelmäßige professionelle Zahnreinigungen stabilisieren das Ergebnis langfristig.
Ohne Nachsorge kommt Parodontitis häufig zurück.
Ist Parodontitis heilbar?
Die ehrliche Antwort lautet, dass Parodontitis nicht vollständig rückgängig gemacht werden kann, aber die Entzündung ist sehr gut kontrollierbar.
Auch wenn bereits verlorener Knochen nicht vollständig nach wächst, kann die Erkrankung gestoppt werden, sodass Deine Zähne langfristig erhalten bleiben. Eine frühe Behandlung macht dabei den größten Unterschied.

Kann sich Zahnfleisch wieder aufbauen?
Entzündetes Zahnfleisch kann sich nach erfolgreicher Therapie deutlich regenerieren.
Bei einer erfolgreichen Behandlung kommt es zu:
✅ Rückgang von Schwellungen
✅ festen und gesunden Zahnfleisch
✅ stabileren Zähnen
Was meist nicht vollständig zurückkehrt:
❌ stark verlorenes Zahnfleisch oder Knochen
❌ Deshalb ist frühes Handeln so wichtig.
Was Du selbst gegen Parodontitis tun kannst
Deine tägliche Pflege entscheidet maßgeblich über den Behandlungserfolg.
Besonders wichtig:
✅ Regelmäßiges Zähneputzen, bei dem alle Speisereste entfernt werden und eine Säurebildung vorgebeugt wird
✅ Zahnseide verwenden, um auch die Zahnzwischenräume gründlich zu reinigen
✅ Nicht zu fest Zähneputzen (Kein Druck, in kreisenden Bewegungen)
✅ Zunge regelmäßig putzen, optimalerweise mit einem Zungenschaber
✅ regelmäßige professionelle Zahnreinigung
✅ Kontrolle von Allgemeinerkrankungen wie Diabetes
⚠️ Vor allem Raucher müssen auf eine optimale Mundhygiene achten, da sie ein 5 - 6 mal höheres Risiko der Parodontose-Erkrankung haben.
Kann Parodontitis wiederkommen?
Ja, denn Parodontitis ist eine chronische Erkrankung.
Man kann sie vergleichen mit:
- Bluthochdruck
- Diabetes
- chronischen Entzündungen
Sie benötigt langfristige Kontrolle statt einmaliger Behandlung. Mit einer guten Nachsorge behalten viele Patient:innen ihre eigenen Zähne jedoch ein Leben lang.
Wann Du unbedingt zum Zahnarzt gehen solltest
Vereinbare möglichst zeitnah einen Termin, wenn Du bemerkst:
⚠️ Zahnfleischbluten
⚠️ Mundgeruch trotz guter Pflege
⚠️ zurückgehendes Zahnfleisch
⚠️ lockere Zähne
Je früher gehandelt wird, desto einfacher und schonender ist die Therapie.
So kannst du einer Parodontose vorbeugen
Um die Parodontose korrekt vorzubeugen muss man lediglich ein paar Regeln beachten
✅ Regelmäßiges Zähneputzen, bei dem alle Speisereste entfernt werden und eine Säurebildung vorgebeugt wird
✅ Zahnseide verwenden, um auch die Zahnzwischenräume gründlich zu reinigen
✅ Nicht zu fest Zähneputzen (Kein Druck, in kreisenden Bewegungen)
✅ Zunge regelmäßig putzen, optimalerweise mit einem Zungenschaber
⚠️ Vor allem Raucher müssen auf eine optimale Mundhygiene achten, da sie ein 5 - 6 mal höheres Risiko der Parodontose-Erkrankung habe

Parodontitis ist behandelbar, wenn Du früh handelst
Parodontitis entsteht meist langsam, bleibt lange unbemerkt und wird deshalb häufig unterschätzt. Gleichzeitig gehört sie zu den wichtigsten Ursachen für Zahnverlust im Erwachsenenalter.
Die gute Nachricht ist:
Mit moderner Behandlung, guter Mundhygiene und regelmäßiger Nachsorge kannst Du die Erkrankung zuverlässig kontrollieren und Deine Zähne dauerhaft erhalten.
Dein Zahnfleisch ist ein zentraler Bestandteil Deiner allgemeinen Gesundheit und verdient genauso viel Aufmerksamkeit wie Deine Zähne selbst.
Ist eine Behandlung mit Zahnspangen oder Zahnschienen trotz Parodontose möglich?
Wer Pardontose hat und eine Zahnspange braucht, sollte die Erkrankung zunächst behandeln lassen. Aligner oder eine Zahnspange sind zwar auch bei Parodontose möglich, es kann aber zu Komplikationen kommen, wenn die ohnehin schon lockeren Zähne durch die kieferorthopädische Behandlung noch weiter verschoben werden.
Möchtest Du wissen, ob Du für eine Behandlung mit transparenten Zahnschienen in Frage kommst? Dann vereinbare einen unverbindlichen Infotermin in einer unserer Impress Flagship- oder Partner-Praxen, wo unser Expertenteam Deinen individuellen Fall untersuchen wird.
Jetzt Infotermin buchenFAQ - Die wichtigsten Fragen rund um die Parodontitis
Ist eine Parodontitis schmerzhaft?
Eine Parodontose kann vor allem in den späteren Stadien sehr schmerzhaft werden, wenn die Entzündung schon weit in das Zahnfleisch eingedrungen ist. An diesem Punkt sollte schnell gehandelt werden, um einen Zahnverlust zu verhindern. Auch kann die Schwächung des Immunsystems zu weiteren Entzündungen im Körper oder sogar zu hohem Fieber führen, was wiederum starke Schmerzen verursacht. Sollten bei Dir also Schmerzen im Zahnbereich oder im Kiefer auftreten, solltest Du Dich auf jeden Fall bei Deinem Zahnarzt melden und Dich untersuchen lassen.
Gibt es chronische Parodontose?
Ja. Die Parodontitis wird grob in die chronische und die aggressive Parodontitis eingeteilt. Bei der chronischen Parodontitis handelt es sich um eine in Schüben stattfindende Erkrankung, die meist eher mild verläuft. Durch entsprechende Prophylaxe und regelmäßige Zahnreinigung auch beim Zahnarzt kann bei der chronischen Parodontose ein schwerer Verlauf gut verhindert werden. Bei der aggressiven Parodontose ist der Verlauf meist sehr schnell und stark ausgeprägt, wodurch die Entzündung sehr schnell den Zahn und Kieferknochen angreift. Studien zeigen, dass diese Art der Parodontose, aber nicht wie lange vermutet, mit einer erhöhten Bakterienlast im Zusammenhang steht, sondern eher genetisch bedingt ist. Meistens tritt die aggressive Parodontose im jugendlichen Alter auf.
Welche Folgeerkrankungen können aus einer Parodontose entstehen?
Parodontitis ist keine lokale Erkrankung des Zahnhalteapparats, sondern kann auch schwerwiegende Folgeerkrankungen im gesamten Körper auslösen, da die Bakterien über die Blutbahn in den Körper streuen können. Dazu zählen unter anderem: Herz-Kreislauf-Erkrankungen Diabetes chronische Atemwegserkrankungen Rheuma Osteoporose Bluthochdruck
Ist Parodontitis ansteckend?
Parodontitis ist keine klassische Infektionskrankheit, wie eine Grippe oder eine Erkältung. Allerdings kann sie trotzdem durch die Bakterien im Mund übertragen werden. Das erfolgt beispielsweise durch Küssen, in dem Speichel direkt ausgetauscht wird, oder wenn Zahnbürsten oder Besteck mit einer erkrankten Person geteilt werden. Ob die Erkrankung aber auch ausbricht, hängt von verschiedenen Faktoren ab, beispielsweise wie geschwächt oder gesund das Immunsystem ist, wie gut die Mundhygiene ist und ob es weitere Risikofaktoren, wie regelmäßiges Rauchen oder Diabetes, gibt.
Kann ich eine Behandlung mit Zahnschienen während einer Parodontitis durchführen lassen?
Prinzipiell steht der Behandlung von Zahnfehlstellungen mit Alignern auch bei einer Parodontose nichts im Weg. Hier muss nur ausdrücklich auf eine gute und regelmäßige Zahnreinigung und Reinigung der Aligner geachtet werden, um die Entzündung nicht zu unterstützen.
Welche ist die beste Mundspülung gegen Parodontose?
Die beste Mundspülung gegen Parodontose erkennt man nicht an der Marke, sondern an den wirksamen Inhaltsstoffen. Welche Spülung geeignet ist, hängt vor allem von der jeweiligen Situation ab. Bei akuter Zahnfleischentzündung können Mundspülungen mit Chlorhexidin kurzfristig helfen. Für die langfristige Pflege eignen sich hingegen Mundspülungen mit antibakteriellen Wirkstoffen wie Cetylpyridiniumchlorid (CPC) oder ätherischen Ölen. Bei empfindlichem Zahnfleisch oder freiliegenden Zahnhälsen sind fluoridhaltige, alkoholfreie Varianten besonders schonend. Treten zusätzlich Mundgeruch oder Entzündungen durch Parodontose auf, können Mundspülungen mit Zinkverbindungen unterstützend wirken.







