Zahnpflege in der Schwangerschaft
Warum verschlechtern sich die Zähne während der Schwangerschaft?
Der Grund für schlechtere Zähne in der Schwangerschaft ist vor allem die Hormonumstellung im Körper. Die erhöhte Ausschüttung von Progesteron sorgt für eine Veränderung der Mundflora. Das Zahnfleisch wird dadurch stärker durchblutet und wird empfindlicher. Die Folge sind Zahnfleischbluten und Zahnfleischentzündungen.
Aber auch der Säuregehalt des Speichels verändert sich und kann zu Schäden an den Zähnen führen. Der pH-Wert ist während der Schwangerschaft nämlich saurer als normalerweise. Wird dann noch zusätzlich viel Süßes oder Saures gegessen, erhöht sich die Säurebelastung und kann den Zahnschmelz angreifen oder zu Karies führen. Schwangerschaftsbedingte Veränderungen wie z.B. häufiges Erbrechen können ebenfalls die Zähne schädigen.
Eine unausgewogene Ernährung oder Heißhungerattacken auf zuckerhaltige Lebensmittel können ebenfalls das Risiko für Karies erhöhen. Der Körper entzieht zudem bei unzureichender Calciumzufuhr Mineralstoffe aus den Knochen und möglicherweise auch aus den Zähnen, was sie schwächer macht.
Welche Zahn-Komplikationen können während der Schwangerschaft auftreten?
Zahnverlust
“Jedes Kind kostet der Mutter einen Zahn” - diesen Spruch hat wohl jede Schwangere schon einmal gehört. Doch Zahnverlust in der Schwangerschaft ist keineswegs normal.
Während werdende Mütter zwar gut mit Calcium, Mineralstoffen und Vitaminen versorgt sind und auf Grund von Mangelerscheinungen in der Schwangerschaft keinen Zahnverlust befürchten müssen, kann es aufgrund von empfindlicheren, weichen Zahnfleisch zu Zahnfleischentzündungen und Zahnfleischbluten kommen. Auch Bakterien können sich leichter verstecken und vermehren, wodurch das Kariesrisiko erhöht wird.
Zähne brechen ab
Ist der Zahnschmelz geschädigt, ist der Zahn instabil und anfällig für Brüche. Insbesondere säurehaltige Speisen sowie der erhöhte pH-Wert in der Schwangerschaft können das Auflösen des Zahnschmelzes begünstigen. Bricht ein Zahn während der Schwangerschaft ab, kann dies in einer Zahnarztpraxis schnell und ohne Narkosen oder Röntgenaufnahmen behandelt werden.
Empfindliche Zähne
Neben dem Zahnfleisch sind auch die Zähne durch die hormonelle Veränderung im Körper empfindlicher. Die erhöhte Blutzirkulation sorgt für eine gesteigerte Durchblutung, was zu wärme- und kälteempfindlichen Zähnen führen kann.
In vielen Fällen verschwinden die empfindlichen Zähne nach der Schwangerschaft wieder.
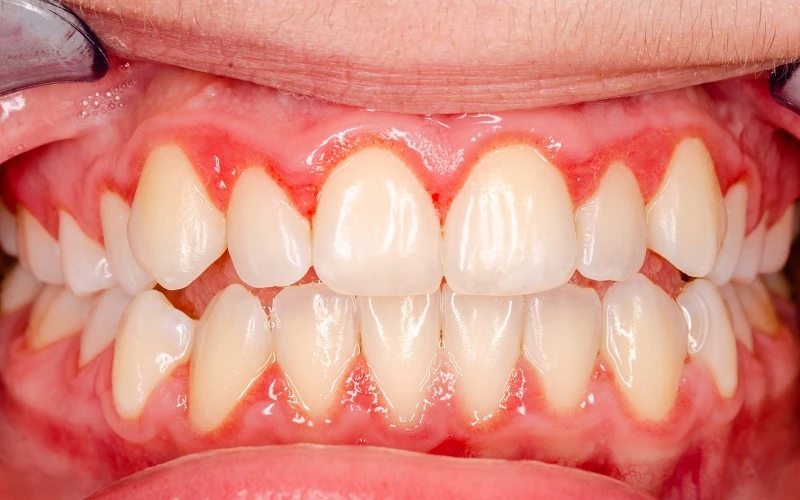
Zahnfleischentzündungen während der Schwangerschaft

Hormonelle Schwankungen steigern die Durchblutung des Zahnfleisches, wodurch es empfindlicher, weicher und anfälliger für Bakterien wird. In einigen Fällen schwillt das Zahnfleisch auch leicht an. Das Ganze wird auch als Schwangerschafts-Gingivitis bezeichnet und macht sich durch Rötungen, Schwellungen und Blutungen beim Zähneputzen bemerkbar. Bleibt die Gingivitis unbehandelt, kann sie in eine Pardotontitis übergehen und das Zahnfleisch sowie den Zahnhalteapparat (Pardodontium) ernsthaft schädigen.
Welche Gefahr besteht für den Zahnschmelz während der Schwangerschaft?
Morgendliche Übelkeit und Erbrechen oder auch Sodbrennen kann die Zähne schädigen.
Das geschieht durch die Magensäure, die den Zahnschmelz aufweichen lässt. Wird die Säure nicht neutralisiert, entstehen langfristig Schäden wie Erosionen, die zu Karies oder empfindlichen Zähnen führen können.
Was kann man gegen schlechte Zähne in der Schwangerschaft machen?
1. Regelmäßiges Zähneputzen: Zweimal täglich mit fluoridhaltiger Zahnpasta und einer weichen Zahnbürste putzen.
2. Mundspülungen: Antibakterielle, alkoholfreie Spülungen oder fluoridhaltige Mundspülungen schützen vor Karies und Zahnfleischentzündungen.
3. Säure neutralisieren: Nach dem Erbrechen den Mund mit Wasser oder einer Mischung aus Wasser und Natron ausspülen, um Säure zu reduzieren.
4. Zucker reduzieren: Versuchen Sie, den Konsum von Süßigkeiten zu minimieren und stattdessen auf gesunde Snacks wie Obst, Gemüse oder Nüsse auszuweichen.
5. Zahnfleischentzündungen vorbeugen: sanfte Massagen mit dem Finger oder einer weichen Zahnbürste verschaffen Abhilfe.
Zahnarztbesuche während der Schwangerschaft

Wann sollte man zum Zahnarzt gehen während der Schwangerschaft?
Regelmäßige Zahnarztbesuche sind während der Schwangerschaft besonders wichtig, um mögliche Probleme frühzeitig zu erkennen und zu behandeln. Ein erster Termin sollte bereits zu Beginn der Schwangerschaft erfolgen.
Grundsätzlich werden mindestens zwei Zahnarztbesuche während der Schwangerschaft sowie professionelle Zahnreinigungen empfohlen, um möglichen Komplikationen aus dem Weg zu gehen. Ist eine Schwangerschaft geplant, ist es wichtig, bereits vorher noch einmal zu einem Kontrolltermin zu gehen, um bestehende Zahnerkrankungen bereits im Vorhinein zu behandeln.
Welche Untersuchungen darf der Zahnarzt während der Schwangerschaft durchführen?
Treten Zahnschmerzen oder andere Zahnprobleme auf, sollte während einer Schwangerschaft immer schnellstmöglich ein Zahnarzt aufgesucht werden. Größere Eingriffe sollten, wenn möglich, nach der Schwangerschaft durchgeführt werden. Auch das Zahn ziehen in der Schwangerschaft sollte nur in dringenden Fällen erfolgen, da hierfür eine Röntgenaufnahme erforderlich ist, die ebenfalls vermieden werden sollte.
Ansonsten können normale Kontrolluntersuchungen, die Entfernung von Zahnstein und professionelle Zahnreinigungen ohne Bedenken durchgeführt werden.
Sind Füllungen erlaubt?
Ja, Füllungen sind während der Schwangerschaft erlaubt und im Falle von Karies auch dringend notwendig, da sich eine Infektion schnell ausbreiten kann. Für die Zahnbehandlung wird allerdings in dieser Zeit keine Amalgamfüllung gemacht, sondern auf Kunststoff zurückgegriffen. Eine Spritze zur Betäubung ist ebenfalls lokal möglich, aber nicht immer unbedenklich für das Baby.
Darf man die Zähne röntgen in der Schwangerschaft?
In den ersten drei Monaten wird auf Röntgenaufnahmen verzichtet. Erst danach werden sie nur in absolut wichtigen Fällen durchgeführt. Dabei kann eine Schürze zum Schutz des Bauches genutzt werden.
Moderne Zahnarztpraxen nutzen jedoch digitale Röntgentechnologie, die die Strahlenbelastung erheblich reduziert. Dadurch ist das Risiko für das ungeborene Kind äußerst gering.
Achte auch während der Schwangerschaft auf Deine Zahngesundheit
Gerade in der Schwangerschaft verdient Deine Mundgesundheit besondere Aufmerksamkeit. Hormonelle Veränderungen können sich auf Zähne und Zahnfleisch auswirken. Umso wichtiger ist es, mögliche Behandlungen gut zu planen.
Wenn Du darüber nachdenkst, Deine Zähne mit transparenten Zahnschienen von Impress zu korrigieren, solltest Du beachten, dass die notwendige Diagnostik , wie Scans oder Röntgenaufnahmen, idealerweise vor oder nach der Schwangerschaft durchgeführt wird. Die eigentliche Behandlung mit transparenten Zahnschienen ist in der Regel problemlos mit einer Schwangerschaft vereinbar.
So kannst Du auch in dieser besonderen Zeit etwas für Dein Lächeln tun und das sicher, komfortabel und abgestimmt auf Deine individuelle Situation.
Wenn Du unsicher bist, was in Deinem Fall sinnvoll ist, lohnt sich eine persönliche Beratung. In einer Impress Flagship- oder Partner-Praxis in Deiner Nähe erfährst du, welche Möglichkeiten für Dich infrage kommen und wie Du Deine Zahngesundheit bestmöglich unterstützen kannst.
Jetzt unverbindlichen Infotermin buchen






